天然脂肪阻断剂-金针菇提取物
随着生活质量的提高,人们往往把精神享受放在饮食上。导致很多人的饮食习惯是不健康的,根据中国膳食指南(2022)数据显示,我国过半数成年人面临着超重或肥胖的困扰。不仅会影响人们的整体形象,更重要的是会引起一系列慢性疾病。这致使人们纷纷把目光瞄准了如何通过健康食品进行体重管理。此市场的高势能人群主要以健身人群为主,大多数为都市白领,对个人身体状态有一定的要求,并且愿意为自己的身体做出消费。

对此,星空官网瞄准体重管理市场推出了金针菇提取物,该提取物有着降脂的功效,可作为食品原料添加到食品中,金针菇子实体膳食纤维不能被人体内的酶分解和消化道吸收,但是能够与胆固醇、胆酸结合,减少人体肝脏中得胆酸堆积,促进胆固醇代谢为胆酸,降低人体小肠中胆固醇含量,干扰小肠对脂质的吸收。为了进一步分析金针菇多糖干预引起的小鼠机制相关代谢产物及代谢途经的变化规律,阐明金针菇多糖的脂代谢调节作用机制,星空官网研发团队与研究所合作实验论证金针菇提取物的有效性。
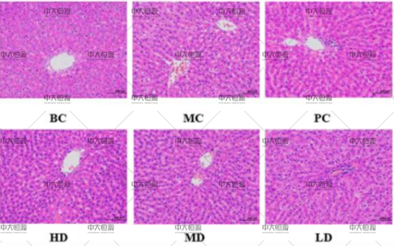
大鼠肝脏组织病理学观察:

△ 空白对照(NC) 组、模型对照(MC) 组、阳性对照(PC) 组、高剂量(HD)组、中剂量(MD) 组、低剂量(LD) 组
大鼠肝脏组织病理学观察实验可以得出脂肪肝在病理状态下,会对肝脏造成一定的损伤,在高脂饮食环境下,金针菇子实体膳食纤维可以通过降低肝脏中的脂肪含量来对肝功能起到保护作用,有助于改善摄入高脂肪食物而带来的损伤。
大鼠脂肪组织病理学观察:

△ 空白对照(NC) 组、模型对照(MC) 组、阳性对照(PC) 组、高剂量(HD)组、中剂量(MD) 组、低剂量(LD) 组
而大鼠脂肪组织病理学观察得出金针菇子实体膳食纤维可以通过减小大鼠的脂肪细胞大小来降低肥胖,防止脂肪在脂肪细胞中的积累可能是抑制肥胖发生的重要机制。
震荡实验:

为了让人们更直观的看到金针菇提取物的功效性,研发团队通过震荡实验来模拟胃酸环境。人们都知道油脂是具有聚集性的,进食高油脂的食物后油脂会附着在肠壁上,无法轻易排出,被肠道吸收后,就会造成脂肪堆积,长时间就会引起肥胖。实验表明金针菇提取物在实验过程中,油脂不会发生聚集。如上图所示金针菇中所含的植物壳聚糖、β-葡聚糖、纤维素等成分会像一张“超级弹性网”, 遇见油脂就会把它包裹起来,形成颗粒状的油珠,让油脂不被身体吸引,愉快的排出体外。
通过一系列实验论证金针菇提取物具有减脂功效,能够抑制饮食中的脂肪被吸收。星空官网研发团队会继续致力于体重管理、健康饮食方向的研究,为市场带来更多、更好的产品应用解决方案。